Tratamientos de Ortodoncia en Getafe

Especialistas en tratamientos de ortodoncia

En B&M Clínicas Dentales, creemos que una sonrisa hermosa y saludable puede transformar vidas. Nuestra sección de ortodoncia está dedicada a ofrecer soluciones personalizadas y de alta calidad para corregir la alineación de los dientes y mejorar la función oral de nuestros pacientes.

En nuestras clínicas dentales ofrecemos una variedad de tratamientos ortodónticos adaptados a las necesidades de cada paciente.

Ortodoncia invisible

Contigo desde el principio

En nuestra clínica empleamos alineadores transparentes como Invisalign, que, al ser removibles y prácticamente imperceptibles, ofrecen una alternativa cómoda y estética para corregir la posición de los dientes. Con este método, podrás mantener tu rutina diaria y tu higiene bucal sin molestias, logrando una sonrisa saludable y equilibrada.

  • Ofrecen una estética muy discreta, pues sus alineadores transparentes apenas se notan, permitiendo corregir la sonrisa sin afectar la imagen.
  • Resultan más cómodos que los brackets tradicionales, ya que se retiran para comer y cepillarse, facilitando una adecuada higiene y cuidado.
  • Al planificarse mediante un sistema digital, se requieren menos intervenciones presenciales, reduciendo notablemente desplazamientos y mejorando la eficiencia del tratamiento.

Ortodoncia invisible

Contigo desde el principio

En nuestra clínica empleamos alineadores transparentes como Invisalign, que, al ser removibles y prácticamente imperceptibles, ofrecen una alternativa cómoda y estética para corregir la posición de los dientes. Con este método, podrás mantener tu rutina diaria y tu higiene bucal sin molestias, logrando una sonrisa saludable y equilibrada.

  • Ofrecen una estética muy discreta, pues sus alineadores transparentes apenas se notan, permitiendo corregir la sonrisa sin afectar la imagen.
  • Resultan más cómodos que los brackets tradicionales, ya que se retiran para comer y cepillarse, facilitando una adecuada higiene y cuidado.
  • Al planificarse mediante un sistema digital, se requieren menos intervenciones presenciales, reduciendo notablemente desplazamientos y mejorando la eficiencia del tratamiento.
ortoncia_invisible_en-getafe

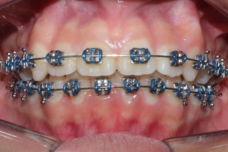
Ortodoncia fija con

brackets metálicos

bracket-metalicos

Los brackets metálicos representan la técnica de ortodoncia más tradicional y conocida, gracias a su eficacia para tratar diferentes tipos de maloclusiones y problemas de alineación dental. Estos aparatos están compuestos por pequeños soportes metálicos que se adhieren a la superficie de cada diente, unidos por un arco que ejerce la fuerza necesaria para ir corrigiendo la posición dental a lo largo del tratamiento.

Aunque su apariencia es más visible en comparación con otras modalidades, los avances en materiales y diseño han mejorado notablemente su comodidad y resistencia. Además, suelen ser una opción más asequible en términos económicos y ofrecen resultados predecibles en un amplio abanico de casos, por lo que siguen siendo una elección muy demandada tanto por profesionales como por pacientes.

La duración de los brackets metálicos oscila entre 12 y 24 meses, según la complejidad del caso y del paciente.

Ortodoncia fija con

brackets estéticos

bracket-esteticos

Los brackets estéticos, generalmente fabricados en cerámica o zafiro, se han consolidado como una alternativa muy valorada por quienes desean un tratamiento menos perceptible a simple vista. Su aspecto translúcido o de color similar al diente consigue camuflar la presencia de los brackets, aportando mayor discreción sin renunciar a la efectividad ortodóncica.

Al igual que los brackets metálicos, se fijan en la superficie de cada diente y utilizan un arco para alinear la dentadura de manera progresiva. Sin embargo, su diseño estético requiere un cuidado algo más delicado para conservar la apariencia uniforme del material.

Aun así, son la solución ideal para adultos y adolescentes que buscan obtener una sonrisa alineada con un aparato que apenas se note.

La duración de los brackets estéticos suele ser similar, aunque puede variar ligeramente por el cuidado diario y características individuales.

Ortodoncia

lingual

ortodoncia-lingual

La ortodoncia invisible engloba distintos tratamientos diseñados para alinear los dientes de forma discreta y eficaz.

Además de los alineadores transparentes, contamos con brackets linguales, que se colocan en la cara interna de las piezas dentales y no se ven al sonreír o hablar.

Estas técnicas son totalmente personalizadas y ofrecen excelentes resultados estéticos.

Nuestros doctores, Marquina y Ángel, están especializados en este tipo de ortodoncia, garantizando comodidad, precisión y una sonrisa perfecta.

La verdadera ortodoncia invisible.

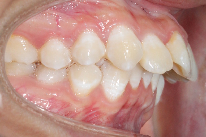
Casos reales de Ortodoncia

Antes

Después

Antes

Después

Antes

Después

Antes

Después

Antes

Después

Primera Consulta Gratuita

Tu salud y la de los tuyos es lo primero

En B&M Clínicas Dentales, ofrecemos una consulta inicial gratuita para evaluar tu caso y discutir las opciones de tratamiento disponibles. Nuestro objetivo es ayudarte a lograr una sonrisa saludable y hermosa que te hará sentir orgulloso.

Primera Consulta Gratuita

Tu salud y la de los tuyos es lo primero

En B&M Clínicas Dentales, ofrecemos una consulta inicial gratuita para evaluar tu caso y discutir las opciones de tratamiento disponibles. Nuestro objetivo es ayudarte a lograr una sonrisa saludable y hermosa que te hará sentir orgulloso.

gdpr
Resumen de privacidad

Esta web utiliza cookies para que podamos ofrecerte la mejor experiencia de usuario posible. La información de las cookies se almacena en tu navegador y realiza funciones tales como reconocerte cuando vuelves a nuestra web o ayudar a nuestro equipo a comprender qué secciones de la web encuentras más interesantes y útiles.

Puede consultar nuestra política de privacidad.