Tu salud es nuestra prioridad
"Más de 2 décadas de experiencia"
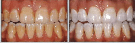
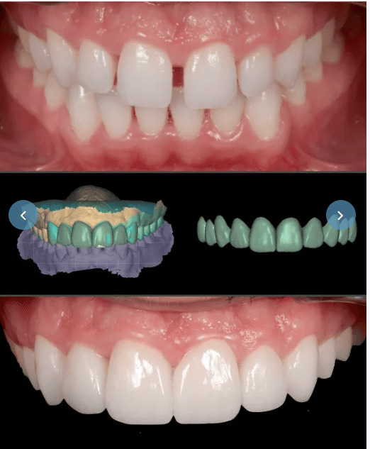
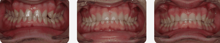
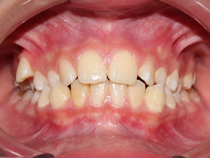
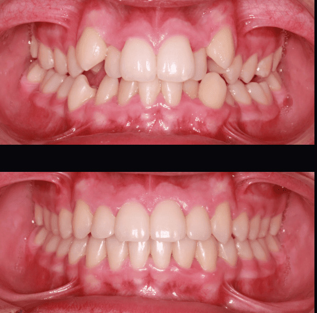
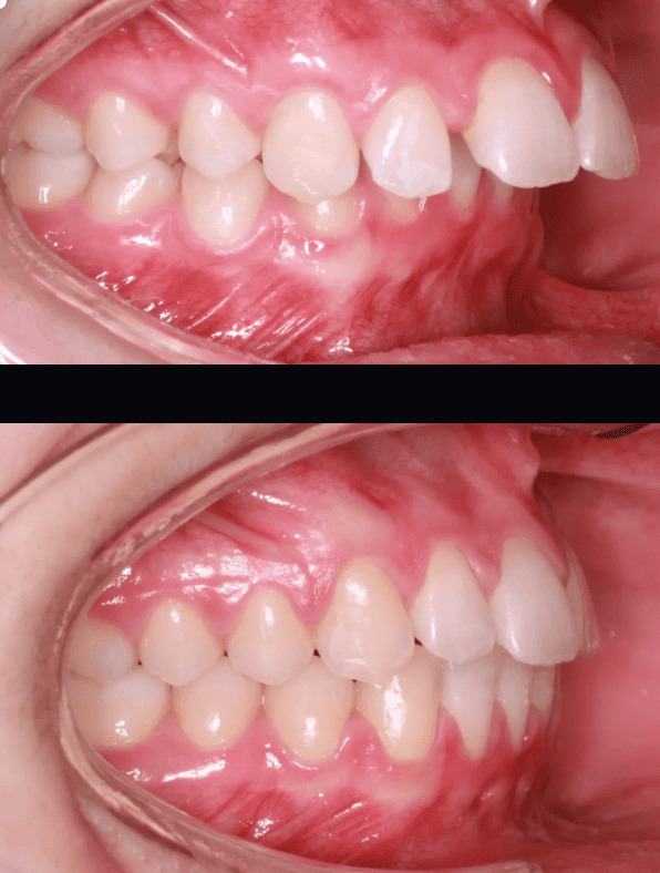
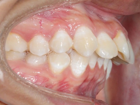
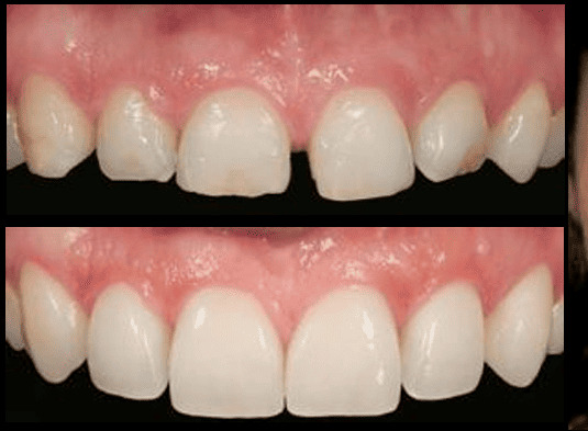
En B&M Clínicas Dentales, contamos con más de 25 años de experiencia en el cuidado dental. Estamos comprometidos en ofrecer servicios de la más alta calidad en Ortodoncia, Periodoncia, Implantología y muchos más, garantizando una atención personalizada y profesional para cada uno de nuestros pacientes.
Conoce nuestra Clínica Dental en Getafe
Experiencia dental
Nuestro equipo de doctores tienen mas de 20 años de experiencia.
Tratamientos indoloros
Tu salud y bienestar son nuestras principales prioridades.
Equipamiento de Vanguardia
Nuestras clínicas está equipadas con modernas instalaciones.
Atención de casos de emergencia
Si tiene una emergencia nos puede llamar
911 427 626
Experiencia dental
Nuestro equipo de doctores tienen mas de 20 años de experiencia.
Tratamientos indoloros
Tu salud y bienestar son nuestras principales prioridades.
Equipamiento de Vanguardia
Nuestras clínicas está equipadas con modernas instalaciones.
Atención de casos de emergencia
Si tiene una emergencia nos puede llamar
911 427 626
Dentistas y Especialistas para ofrecer la mejor atención dental
Cuenta con nosotros
¿Llevas tiempo pensado en que tienes que acudir al dentista? No lo dejes pasar.
Tu salud y la de los tuyos es lo primero.
No te acostumbres a las molestias dentales, suelen ir a más y no descuides tu sonrisa, es única.
¿Por qué elegirnos?
En B&M brindamos cuidados intensivos con un enfoque integral para niños y adultos, respaldados por un equipo de dentistas altamente capacitados.
Nuestra prioridad es ofrecer un entorno seguro, moderno y acogedor, donde cada paciente reciba la mejor atención y los resultados más óptimos. ¡Confía en nuestra experiencia y déjanos cuidar de tu sonrisa con la dedicación que mereces!




